- Home
- Dental Centre
- Implants
Dental Implants in Catford
If you are suffering from broken, crooked, damaged, or misshapen teeth, dental implants in Catford could be the ideal solution.
The main advantage of choosing this treatment is that your artificial teeth look like natural ones. It helps you to regain the lost smile and keep it on your face forever. They are a permanent solution for all your dental problems.
At Hillview Dental Centre, we have some of the renowned Catford dentists who can help you solve your teeth and oral problems. You will have to fix an appointment with us to know if you are a suitable candidate for a dental implant. We feel proud to have helped several people in fixing teeth loss problems and offering them the right treatment for their dental issues.
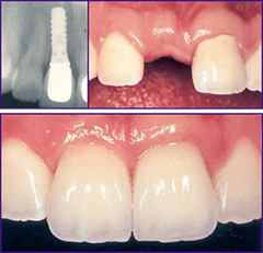
A dental implant is a titanium metal rod that is placed into the jawbone. It is used to support one or more false teeth. In practice, both the false teeth and their supporting rod are known as ‘implants’. Implants are strong and will last for at least 15 years and even up to 25 years.
Dental Implant in Catford – The Process Includes:
- Proper assessment – We will evaluate the condition of your jawbone and gum where the tooth had been lost. During the initial examination, your jawbone and mouth will be measured. Then, an x-ray is performed to determine the right place where dental implants will be placed. Once you find dental implants are the right tooth replacement option, you will have to schedule an appointment with the dentist.
- Placement of implant – A small titanium is attached to the jawbone and left for almost three to six months. During this time, another bone grows near the implant and secures it in a procedure known as osseointegration.
- Abutment and crown placement – Once the implant gets healed, a small piece known as an abutment is attached to the fixture. The abutment is the centre between the fixture and the crown. The quality of the restoration is extremely good, which makes it quite difficult to distinguish between natural and original teeth.
- Care for your implant – Our dentist will help you to take care of your implant. It is important to keep your teeth and mouth strong and healthy so that you may not face any problems that may damage the implant.

What you need to know before getting dental implants Catford:
I have some of my own teeth. Can I still have implants?
Yes. You can have any number of teeth replaced with implants – from one single tooth to a complete set.
Can implants always be used to replace missing teeth?
It depends on the state of the bone in your jaw. Your dentist will arrange for a number of special tests to assess the amount of bone still there. If there is not enough, or if it isn’t healthy enough. It may not be possible to place implants without grafting bone into the area first.
Can I have the new teeth straight away?
No. The implants need to bond (integrate) with the bone after they have been placed. This usually takes 3 months in the lower jaw and 6 months in the upper jaw. If you are having one, two, or three teeth replaced, you will have a temporary restoration in the meantime if you have complete dentures. Then, you can wear them throughout the healing period once they have been adjusted after the surgery.
How long does treatment take?
It varies from case to case, and it can take anything from 2-3 months up to a couple of years, from the initial assessment to the time when the artificial teeth or dentures are finally attached to the implants. A lot depends on how complicated your treatment is. Your dentist will be able to give you a timetable once the surgery has been done.
Are the teeth difficult to clean?
Cleaning around the teeth attached to the implants is no more difficult than cleaning natural teeth. However, there may be areas that give you problems, and you’ll be shown methods to help.
If I had gum disease when I had my own teeth, would I get it with the teeth attached to the implants?
Yes, if you don’t care for them well enough. If you keep them clean and don’t smoke, then you should not have any problems.
Can I take the teeth out if they are fixed to implants?
Most artificial teeth attached to implants can only be placed and removed by the dentist. However, if you have complete dentures fixed to the implants by bars, then you’ll be able to take them out for cleaning.
Do the implants show?
Your dentist will make the best he/ she can to make sure that the implants won’t show during all normal movements of the mouth and lips. However, it is not always possible.
Do I have an implant for each missing tooth?
No, unless you’re only having a single tooth replaced. Typically, five or six implants are used to replace all the teeth in one jaw, as each implant can usually support two teeth. For a few missing teeth, two or three implants may be used.
What if I get hit in the face?
Implants and the teeth they support can be damaged by an accident in the same way that natural teeth can. However, if the false teeth are damaged and the remnants are left in the bone. Then, they may be more difficult to remove than natural teeth would be. After healing, new false teeth can then be placed alongside the fragments.
What happens if the implant does not bond (integrate) with the bone?
This happens very rarely. If the implant becomes loose during the healing period or just after. Then, it is easily removed, and healing takes place in the usual way. Once the jaw has healed, another implant can be placed there. Or, the dentist can make a bridge, using the implanted false teeth that have ‘taken’.
Is the treatment expensive?
Unfortunately, yes. However, in many situations, the cost of the treatment is only a little more than the cost of more conventional treatment with crowns and bridges.
Are there any advantages?
An implant to replace a single tooth avoids the need to cut down the teeth on either side for crowns to support a bridge. Normal dentures often mean you can’t eat or speak well due to the dentures moving about. But teeth attached to an implant don’t cause this problem.
Where do I get this treatment?
Talk to your dentist so you can be referred to a specialist for assessment and treatment. Your dentist may already carry out some or all of this type of treatment and will give you the advice you need.
For further information on dental implants in Catford, please click here for details on how to contact Hillview Dental Centre in Catford.


